Wie Fühlt Sich Ein Ermüdungsbruch Im Fuß An

Wie Fühlt Sich Ein Ermüdungsbruch Im Fuß An. Ermüdungsbruch Symptome erkennen, behandeln, vorbeugen NDR.de Ratgeber Gesundheit Ermüdungsbruch im Fuß Symptome: Wie macht sich ein Ermüdungsbruch im Fuß bemerkbar? Zunächst nehmen Betroffene dumpfe und später stechende oder ziehende Schmerzen, Schmerzen beim Gehen sowie eine nachlassende Belastbarkeit des Fußes wahr Susanna Bischoff erklärt, wie man Ermüdungsbrüche erkennt, welche Konsequenzen sie mit sich bringen und warum sie nicht gänzlich zu vermeiden sind.

Ermüdungsbruch tritt häufig am Fuß auf
Ermüdungsbruch tritt häufig am Fuß auf from www.lifeline.de

Vor allem das Fersenbein (Calcaneus) kann bei übermäßiger Belastung durch das Körpergewicht einen Ermüdungsbruch erleiden Ein Ermüdungsbruch im Fuß äußert sich durch deutlich spürbare Symptome

Ermüdungsbruch tritt häufig am Fuß auf

Dabei äußert sich der Bruch meist als Knochenödem oder als sichtbare Frakturlinien. Ein sogenannter Ermüdungsbruch war die Ursache der sich chronifizierenden Schmerzen im Fuß, die jeden Schritt zur Qual machten und sich selbst über Nacht nicht mehr besserten Ein Ermüdungsbruch im Fuß äußert sich durch deutlich spürbare Symptome

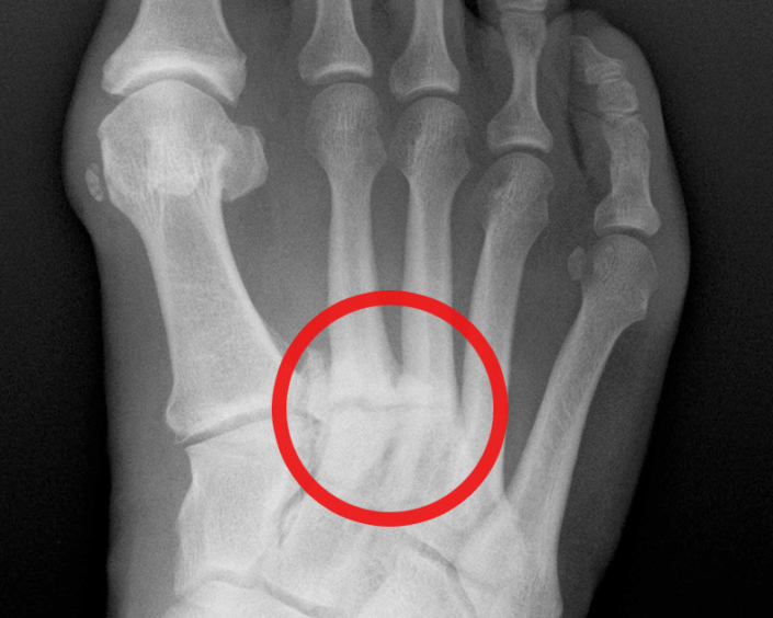
Stechender Schmerz im Fuß Ermüdungsbruch erkennen NDR.de Ratgeber Gesundheit. Besonders ambitionierte Sportler, Tennisspieler, Marathonläufer, aber auch Fußballspieler, erwischt ein Ermüdungsbruch häufig Im Fuß, der sich aus zahlreichen kleinen Knochen zusammensetzt, sind vorrangig die Mittelfußknochen betroffen.

Ermüdungsbruch im Fuß Symptome & Schmerzen behandeln. Im Bereich des Fußes treten Stressfrakturen am Mittelfuß oder an der Fußwurzel auf Ein sogenannter Ermüdungsbruch war die Ursache der sich chronifizierenden Schmerzen im Fuß, die jeden Schritt zur Qual machten und sich selbst über Nacht nicht mehr besserten